Case Study

4.5 cm Sessile Rectal Polyp ESD with Speedboat Notch Short & Multimodal Energy

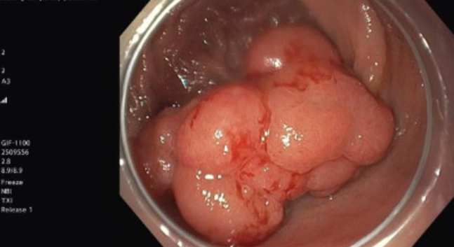
58-year-old female patient presented for screening colonoscopy noted to have a 4.5cm sessile rectal polyp and was referred for ESD of the polyp.

En-bloc Resection with Pathology noted.
The patient woke up with minimal rectal discomfort which is rare after a 3-hour dissection of the rectum. While she was observed overnight, she complained of no discomfort post procedure and was discharged in the morning to outpatient follow up.

Download case study
Dr Steven Shamah

Dr Steven Shamah
Director of Endoscopy - Lenox Hill Hospital

Lobulated Polyp

Figure 1: Lobulated Polyp

Resection down to the muscle layer

Figure 3: Resection down to the muscle layer

Pinned specimen

Figure 4: Pinned specimen

Are you ready to transform your healthcare offering with Creo Medical?